審美歯科治療
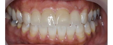
Before 審美修復(セラミック)施術前
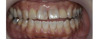
After 審美修復(セラミック)施術前
近年、生体材料の進歩によって脆弱(かたくてもろい)なセラミック修復の応用範囲が大変大きくなってきました。
科学的根拠に基づいて、”生体”である象牙質(歯の内側)をコーティングし噛合い面(歯の外側部分)へのセラミックの応用を提供しております。
タバコやコーヒーなどのステインによる汚れを専用の器具を使って落とし、歯の本来の白さを取り戻します。
ステインは歯磨きだけでは完全に取りきることが出来ません。
ホームホワイトニングとは、ご自宅でマウスピースにホワイトニング剤をいれて装着してもらう方法です。
歯を削らずに歯の表面から施す治療でご自分の歯自体を白くする治療です。
患者さんそれぞれに合ったマウスピースをはめてお薬を塗る方法で、個人差はありますが、7~10日間でかなり白くなります。
審美歯科は歯を白くするだけではなく、トータル的な治療!


詳細